Sterie Ciumetti
Incorect Politic
Mai 10, 2021
Antoine Béchamp s-a născut la 16 octombrie 1816 la Bassing (Lorena). Tatăl său, morar, a avut mai mulți băieți și fete. Grație protecției unui unchi, consul al Franței la București, la vârsta de șase ani, copilul Antoine Béchamp sosește la București, unde rămâne vreme de 12 ani, în care timp termină liceul Sfântul Sava, unde studiază româna, franceza, latina, greaca, farmacia (care includea anatomia, fiziologia, botanica, apoi, în anii următori, materii médicale : pharmacie și chimie, obținând prima sa diplomă la vârsta de 18 ani, în limba română.
După moartea unchiului (1834), Béchamp se întoarce în Franța (18 an), a cărei limbă nu o mai vorbea foarte bine, după cei 12 ani petrecuți fără întrerupere în Valahia. Diploma de farmacist român nu îi este recunoscută în Franța, din care cauză își reface studiile farmacautice la Școala Superioară de Farmacie din Strasburg, lucrând în același timp ca preparator (de rețete) la Farmacia din Benfeld.
Rând pe rând, deși abia întors din Valahia, Béchamp promovează examene după examene:
Bacalaureat în Științe Matematice,
Agregation în Farmacie,
Licențiat în Științe Fizice,
Doctor în Științe Fizice (1853),
Docteur en Medicină (1856).
Mai întâi lucrează ca farmacist (1848) la Strasburg. Farmacia lui se numea « La Violette » și funcționa pe strada Serruriers numărul 3, mutată apoi (1852) pe strada Grande-Rue, numărul 123. În 1888, această ultimă farmacie se va muta în Le Faubourg National.
Către jumătatea secolului al XIX-lea, Medicina nu cunoștea existența micro-organismelor. Se credea că viața a apărut prin « generație spontană », teorie pe care se baza și doctrina evoluționistă a lui Darwin, a cărei carte fundamentală, EVOLUȚIA SPECIILOR, a fost publicată în 1859.
Rând pe rând, Profesorul, Medicul și Farmacistul Antoine Béchamp lucrează ca:
Profesor de Fizică și Toxicologie la Școala Superioară de Farmacie din Strasburg,
Profesor de Chimie Medicală și Farmacie la Facultatea de Medicină din Montpellier,
Decan al Facultății Libre de Medecină și Farmacie din Lille,
Profesor de Chimie Organică și Chimie Biologique la Lille.
Antoine Béchamp iese la pensie în 1886, dar continuă să lucreze ca cercetător științific până la sfârșitul vieții.
Pasiunea lui Béchamp a fost cercetarea științifică de laborator, Teza lui de Doctorat (Despre Albuminoide, 1852) fiind remarcată de somitățile vremii. În 1852, Béchamp inventează un nou procedeu de fabricare a Anilinei, mai rapid și mai ieftin decât cel utilizat atunci.
Începând cu 1854, Béchamp se consacră studiului fermentării, cu care ocazie demonstrează că generația spontane este o imposibilitate. Afirmând imposibilitatea generației spontane, Béchamp intră în conflict cu Pasteur și alți savanți de atunci, care nu puteau explica viața decât ca un fel de trosneală de degete din partea Marelui Creator.
Cercetarea științifică a fermentației îl conduce la descoperirea MICROZIMEI, care se va dovedi veriga fundamentală a vieții. In fapt, microzima se dovedește microcelula organizată ce construiește întreaga lume vie, sintetizând, între altele, enzimele sau zimazele, ce permit diversele reacții chimice, combustia și respirația tuturor orhanismelor vii.
***
Microzimele sunt cei mai mici fermenți care există. Mi-au trebuit șapte ani pentru a constata existența lor independentă, funcțiunile și natura lor organizată (vie).
Clarificarea acestor lucruri s-a făcut printr-un impresionant număr de experiențe științifice ireproșabile care au demonstrat că microzimele există ca bacterii cu un nivel inferior de dezvoltare, în mușchii și în toate organele oricărui animal viu.
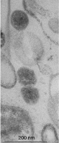
Dimpotrivă, teoria pasteuriană afirmă că interiorul unui animal este absolut steril. Așadar, teoria pasteuriană este falsă. În cadrul muncii și activității noastre, de ani și ani, cu bolnavii, am observat adesea diverși germeni (bacili, bacterii, borrelia) în sângele persoanelor sănătoase, ce nu prezentau nicio urmă de septicemie. La microscop, pe fond luminos, microzimele se prezintă invariabil sub aparența unor puncte strălucitoare, dotate cu o anumită mobilitate, un fel de trepidație, dute-vino, turbionare. Funcție de unghiul de observare, le putem considera puncte negre sau sfere al căror centru strălucește în mijlocul unui contur întunecat. Diametrul microzimelor este sub miimea de milimetru, uneori chiar mai mici.
În anumite condiții, microzimele pot construi celule. « Microzimele sunt constructorii tuturor celulelor vii. Din aproape în aproape, ele au construit lumea vie, pe care noi o numim regnul vegetal și regnul animal ». În plus, Béchamp precizează : « Chiar dacă am avea toate soiurile de microzime la dispoziția noastră, nu este în puterea noastră să construim un vegetal ori un animal de ordin mai înalt ».
Compoziția microzimelor amintește pe aceea a blastemelor și protoplasmelor (țesuturi vii), ca și pe aceea a celulelor de drojdie de bere, a majorității țesuturilor vii, vegetale sau animale : 89%
Funcțiunile microzimelor variază potrivit diferitelor centre sau organe ale aceleiași ființe.
După cum am văzut, microzimele sunt granulații minuscule (30 – 60 nanomètres diametru), animate de o mișcare browniană (un fel de dans permanent), fiind prezente în toate ființele vii, observabile foarte ușor la microscopul optic ce mărește de 750 de ori (Microscoapele optice moderne măresc fără probleme de 1000 de ori, iar tehnica pe fond negru (necunoscută în Franța permite foarte ușoara lor vizualizare pe ființele vii). Prtactic, microzimele sunt cunoscute de când există microscopul. Pentru a fi sigur că nu vor putea fi văzute și pentru a falsifica realitatea, Pasteur recommanda colaboratorilor săi să nu mărească nimic, niciodată, peste 400 de ori !
*
Niciodată nu vom insista prea mult cu privire la extraordinarul aspect al vieții, care este microzima. Ignorarea totală a acestui aspect este una dintre cauzele pentru care lumea modernă și actuală au fost și sunt într-o stare stare de sănătate lamentabilă. Putem spune că suntem sub influența unor stări negative și pozitive, precum suferința vegetalelor și animalelor ce se acumulează în noi pe măsură ce le consumăm, făcându-ne mai sensibili la propriile noastre emoții. Aceasta deschide perspectiva tuturor somatizărilor[1], inclusiv a diverselor forme de cancer.
Mascarada politico-sanitară delirantă, pe care o trăim de peste un an, prezintă cel puțin avantajul că nu mai putem continua să denaturăm mediul nostru ambiental, să otrăvim frații noștri de viață, vegetalele și animalele, considerându-ne proprietarii și stăpânii acestei lumi, după cum susțin unele pretinse și aberante « texte sfinte ». Viața este un miracol permanent, pe care trebuie să învățăm a-l aprecia, a-l binecuvînta și a-l respecta.
[1]. Somatizare : Schimbarea inconștientă a unui rău de ordin psihic în unul de ordin fizic. Frustrarea profesională, de exemplu, poate conduce la dureri abdominale.
*
La microscop, mama oțetului se prezintă ca o membrană formată din microzime simple, probabil dezvoltate în formă de bastonașe, în interiorul unei materii hialine (albumină sau proteină și apă, transparentă), ce se comportă ca o gangă. Aproape fără termen, ea se poate conserva în apă creozotată, îndulcită sau nu, fără să-și modifice structura ori proprietățile. Ea este capabilă să intervertească zahărul de trestie, formând alcool, acid acetic, cu o slabă degajare de acid carbonic (acțiune enzimatică). În prezența unei fierturi de drojdie de bere sau carne (materie albuminoidă neorganizată, întrucât organizarea inițială a fost distrusă mecanic și prin fierbere), fermentația alcoolică este mai puternică, nutrimentele adăugate favorizând transformarea enzimatică.
« Nu există nicio îndoială, mama oțetului este un țesut de microzime, acestea fiind capabile să producă celule sau bacterii, potrivit mediului în care ele sunt obligate să trăiască. Natura lumii organizate fiind UNA în multiple manifestări, putem considera că, în vegetale sau animale, granulațiile moleculare numite microzime sunt muncitorii însărcinați cuconstruirea celulelor, îndată ce condițiile favorabile sunt reunite ».
« Proprietățile unei celule sunt radical diferite de cele ale microzimelor izolate. De exemplu, o celulă de drojdie de bere este capabilă să fermenteze zahărul în alcool, în vreme ce microzimele constitutive, luate separat, nu pot produce decât o fermentație lactică.
Totuși, prin ele însele, ca și țesuturile, celulele nu au viață proprie ; cu timpul, prin involuție, ele redevin microzime. « Cu timpul, celulele dispar, transformându-se în microzime de o extremă agilitate sau în bacterii. Cu timpul, și bacteriile dispar, se transformă în microzime, acestea fiind singurele ce persistă ».
Construcția celulelor
Mai întâi, Béchamp a observat țesutul conjunctiv al unui embrion, într-o zonă ce va deveni corp vertebral :
« Are loc o repartiție a microzimelor, ce apar uniform răspândite. Apoi, ele par să se grupeze, prin atragere reciprocă : se văd plăci granuloase ce par să se condenseze sub formă de mici sfere, al căror contur este abia schițat. După aproximativ 24 de ore de incubație, constatăm apariția unui fel de celuloză, adică a celulelor. După 48 de ore, fenomenul se accentuează, corpul vertebratelor fiind compus, clar și net, din celule rotunjite. Lucru demn de toată atenția : toate celulele se află la același nivel de dezvoltare, toate apar ori se nasc la stadiul de celule adulte. Microzimele se comportă absolut la fel : se reunesc, apoi se tasează sub forma unei sfere, după care, astfel reunite, secretează o membrană, iar când aceasta este gata se cheamă că celula este constituită. Acesta este rezultatul observației, nu fructul unei idei preconcepute ».
Crezând că granulația moleculară nu este organizată, deci nu este vie și nu are o activitate a ei, Virchow[1] s-a înșelat, împărtășind eroarea comună tuturor fiziologilor, histologilor și chimiștilor. În realitate, nu celula este cadrul sau suportul activității vitale, nu în celulă are loc activitatea vitală de origine, ci în microzime.
Pentru că lucrurile stau așa, nu altfel, celula sau orice alt țesut nu pot fi produsul unei generații spontane. Pentru că lururile stau așa, în cadrul experiențelor in vitro ca și în organism, celulele formate din microzime nu pot fi rezultatul unei acțiuni sau a unei forțe asemănătoare celei ce determină cristalizarea. Cristalizarea este un fenomen ce poate fi observat cu ușurință, de exemplu prin încălzirea apei în care s-a dizolvat sare. Prin încălzirea suficientă a soluției de apă sărată, pe măsură ce apa se evaporă cristalele de sare își fac apariția.
Microzima formează organismul pentru că ea este deja organizată (vie), iar organismul este dotat cu activitate pentru că deja microzima are activitatea ei. În embrion, toate celulele se formează mai mult sau mai puțin rapid, într-un mod mai mult sau mai puțin analog, fără ca mai întâi o celulă să conducă apariția și dezvoltarea celorlalte[2]. Pe plăci sau în masa uniform granuloasă, unde nu vedem decât numai și numai microzime, la un moment dat recunoaștem apariția formelor specifice celulelor.
Într-un lichid, niciodată nu vedem formându-se o celulă sau un vibrion (bacterie), fără a remarca mai întâi prezența microzimelor, care sunt punctul de plecare. (…) Vom vedea că în organismul adult, celulele se formează, din microzime, prin același mecanism. Repetăm : pentru ca o celulă să apară, nu avem nevoie de o ”celulă-mamă”, anterioară. Pentru ca o celulă să apară, nu este nevoie decât de microzime și mediul lor specific, creat de activitatea lor chimică în sânul masei ce le conține. (…) De asemenea, prin progresie, evoluție, dezvoltare, microzimele sunt factorii necesari pentru apariția celulelor ; tot așa, mai devreme sau mai tâtziu, prin regresie sau involuție, orice celulă sau țesut redevine microzimă.
Celula nu este elementul histogenic permanent : Existența ei este trecătoare, tranzitorie, ea nu poate fi unitatea vitală primordială. Dincolo de celulă există microzima, care dă naștere celulei și persistă când aceasta dispare. Față de celulă, microzima este imanentă, ea este suportul acțiunii vitale, al vieții. Microzima este elementul organic primordial ».
*
[1]. Virchow este histologul care a ”decis” că celula este elementul de bază a tot ce este viu. Această credință cvasi-religioasă sau idolatră încă este actuală astăzi.
[2]. Așa cum a crezut Wirchow.
Texte extrase din MICROZIMELE, descoperirea fundamentală aprof. A. Bechamp
Va urma
Incorect Politic O Publicație Dizidentă




Extrem de interesant!
Mai vrem!
Multumim!
Traducere gugal. ” Generatia spontana” , fata de firescul-gererarea , aparitia spontana.